奥歯のインプラント治療の治療費と特徴やリスクについて(60代女性 実症例)
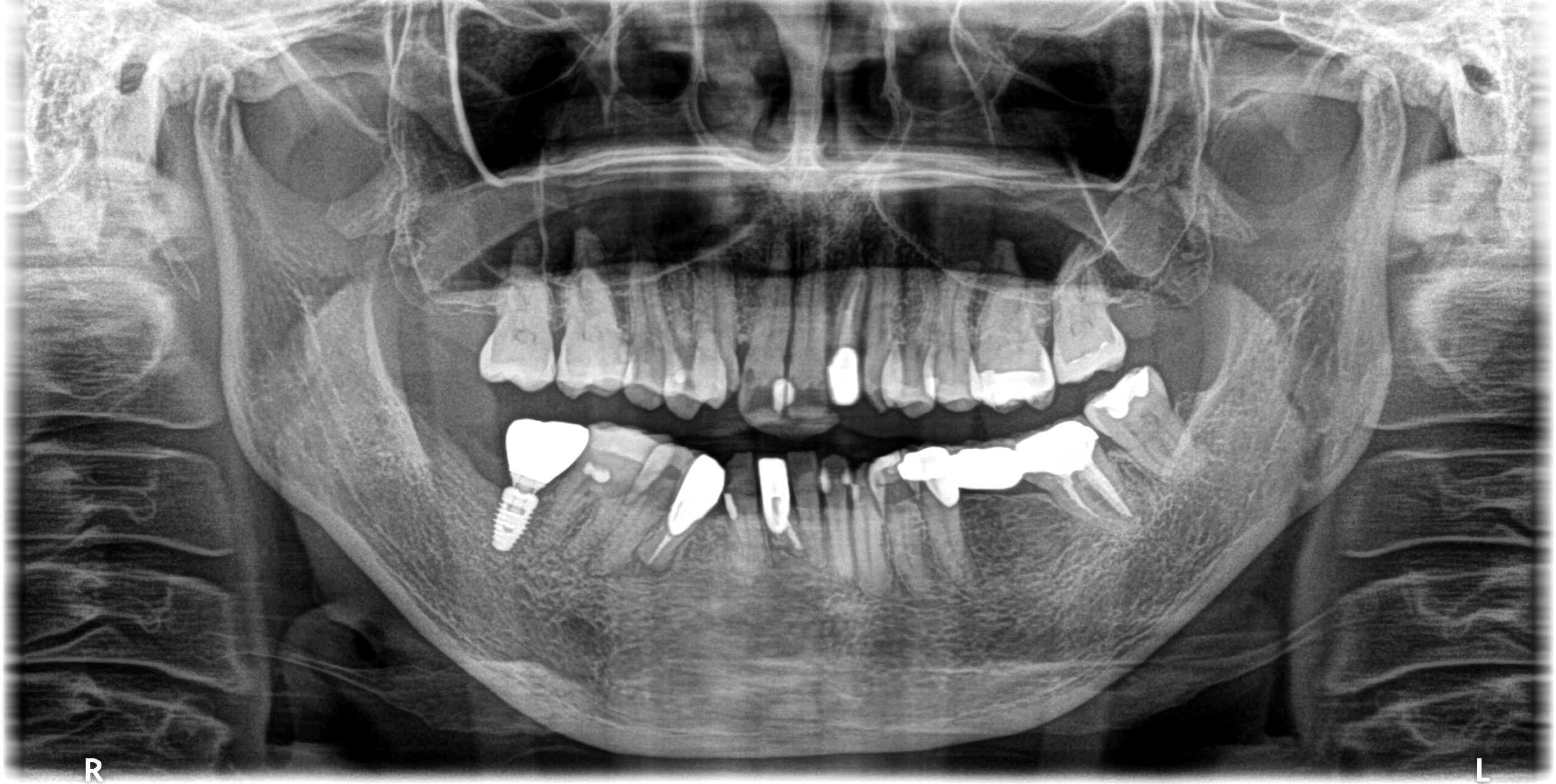
患者様は60代の女性で右下7番の歯が歯根破折で抜歯になり、抜歯後の欠損部にインプラント治療を行った症例です。
治療の流れとしては、静脈内麻酔下にて右下7番の欠損部の骨内に1本のスウェーデン製のノーベルバイオケア社のインプラント(フィクスチャー)を埋入して、ON1ベースアバットメント(土台)を装着して仮歯を経て最終上部構造(ジルコニアセラミック)をスクリュー固定しました。
* On1ベースアバットメントとはノーベルバイオケア社オリジナルのコンセプトであり、 軟組織の付着を温存し、外科術式と補綴修復の柔軟性を最大限に向上させる新しいコンセプトです。
インプラント埋入から最終補綴時までOn1ベースアバットメントを一度も取り外さないため、軟組織にダメージを与えることなく有効な治療を行うことができます。
また通常2回行っている手術を1回にまとめて完結することが可能で、患者様の体の負担も大幅に軽減されます。
治療費用について
今回の治療費はインプラント体(フィクスチャー)+On1ベースアバットメント(土台)+スクリュー固定式上部構造(ジルコニアセラミッククラウン)の合計が55万円(tax in)とプロビジョナルレストレーション(仮歯)2.2万円(tax in)と静脈内鎮静法麻酔代7.7万円(tax in)の合計64.9万円です。
治療後のリスクについて
インプラント治療はインプラントを入れたら終わりではなく、術後にメンテナンスしないと歯周病になることもあるので、定期的(3〜6か月ごと)に歯石除去や噛み合わせの調整が必要です。
当院のインプラント治療の特徴
①経験豊富な日本口腔インプラント学会の岩元インプラント専門医が手術を執刀します。骨が少ない方や高齢者の方などで、他院で断られた方、骨増生やサイナスリフト、抜歯即時や即時荷重、オールオン4などの難症例でもお気軽にご相談ください。
②当院のインプラント手術は静脈内鎮静法麻酔下にて行いますので、歯科恐怖症の方や高齢者や基礎疾患をお持ちの方でも安全に手術が可能です。さらに手術中は無痛治療で行い、術後の腫れを最小限に抑えることが可能です。
③世界的インプラントトップシェアのスウェーデンのノーベルバイオケア社のインプラントを使用し、最新のOn1ベースアバットメントで装着するので、通常2回行っている手術を1回にまとめて完結することが可能です。
これにより患者様の身体的負担が軽減され、治療期間も大幅に短縮されるのが大きな利点です。
また上部構造(ジルコニアセラミッククラウン)はセメント固定ではなく、スクリュー固定なので将来何か問題が起こっても、簡単に修理などが可能でインプラント体(フィクスチャー)やアバットメント(土台)に負担をかけずに治療費も抑えることが可能です。
なおインプラント治療は保険外の自費治療です。
ご自身の歯が抜けたまま放置されたり、入れ歯が苦痛なのでインプラント治療を受けたいなどお困りごと等ありましたら浜中デンタルクリニックまでお気軽にご相談下さい。
目黒区東急東横線学芸大学駅 西口より徒歩1分の歯科医院(歯医者)
浜中デンタルクリニック
https://www.hamanaka-dent.com/
03-3792-3300
平日9時30分〜19時00分
土曜日9時30分〜15時00分
休診日 木曜日日祝日
一般歯科(虫歯治療)、マイクロスコープ精密根管治療、小児歯科、矯正歯科、口腔外科、審美歯科、セラミック治療、ダイレクトボンディング、ホワイトニング、インプラント治療



